Cosmetic Dentistry Β· Jupiter, FL
Smile Makeovers
in Jupiter, FL
Veneers, Invisalign, crowns & full smile transformations β from Jupiter's most trusted cosmetic dental team.
- Personalized Care β Every Visit, Every Patient
- 3 Experienced Cosmetic Dentists On Your Team
- Full-Service Dentistry Under One Roof
- Flexible Financing Starting at $149/Month
- Same-Day Appointments Available
4.9 rating from 169+ reviews
Transform Your Smile With Jupiter's
Premier Cosmetic Dental Team
Same-day appointments available for
cosmetic patients in Jupiter, FL
*Starting price on approved payment plan. Subject to consultation. Individual results may vary.
A Practice Built Around You
From your very first visit to your final reveal, our entire team is focused on one thing β giving you an experience and a smile you'll love for life.
Genuine, Patient-First Care
Every treatment plan is built around your unique goals, your timeline, and your comfort β never a one-size-fits-all approach.
Everything Under One Roof
From routine cleanings and Invisalign to full smile makeovers and facial aesthetics β our full-service practice means you never need a referral elsewhere.
State-of-the-Art Technology
Digital X-rays, intraoral cameras, and 3D imaging allow us to diagnose precisely, plan beautifully, and deliver results with unmatched accuracy.
Convenient Hours & Same-Day Access
Early morning availability Monday through Friday, with same-day scheduling for new cosmetic patients β we fit seamlessly into your life.
Ready to Meet Your New Smile Team?
Schedule your personal consultation today β same-day appointments are available for new cosmetic patients.
Artistry Meets Clinical Precision
Every cosmetic treatment is built around your goals β beautifully planned, expertly executed, lasting for years.
Porcelain Veneers
Ultra-thin, hand-crafted veneers bonded to the front of your teeth β instantly correcting shape, color, and proportion for a radiant, natural smile.
Invisalign Clear Aligners
Virtually invisible aligners that straighten your teeth precisely β no brackets, no wires, no compromise to your confidence or daily life.
Dental Crowns
Lifelike, tooth-colored crowns that fully restore damaged teeth while seamlessly matching your natural smile's appearance.
Dental Bridges
Fixed, natural-looking prosthetics that restore your complete smile, bite function, and facial structure β permanently.
Complete Smile Makeover
A fully customized combination of cosmetic procedures β your complete smile transformation, designed specifically for you.
Botox & Facial Fillers
Medical-grade facial aesthetic treatments that complement your new smile β harmonizing your entire appearance with expert precision.
Not Sure Which Treatment Is Right for You?
Our team will walk you through every option during a no-pressure consultation β tailored entirely to your smile goals and budget.
Our Cosmetic Transformations
Real results from real Jupiter patients β every smile uniquely designed, every outcome exceeded expectations.


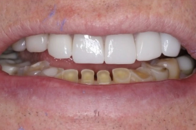
Porcelain Veneers
Complete smile transformation β shape, color & symmetry restored

Invisalign Alignment
Crowded, uneven teeth corrected β discreetly and comfortably


Full Smile Makeover
Crowns + veneers + whitening β a total, life-changing result
Your Transformation Starts Here
See results like these for yourself. Our cosmetic team is ready to design your personalized smile plan β starting at just $149/month.
Meet the Specialists
Behind Every Smile

With deep expertise in cosmetic and restorative dentistry, Dr. Casel brings artistry and advanced technique to every smile transformation he creates.

Dr. Edelmann combines a meticulous aesthetic eye with warm, patient-centered care β making every consultation a confident and reassuring experience.

Dr. Willoughby blends technical precision with a warm, approachable approach β helping patients achieve healthy, natural smiles they genuinely love.
Meet Your Doctor in Person
Book a one-on-one consultation with Dr. Casel, Dr. Edelmann, or Dr. Willoughby and take the first step toward your dream smile today.
169+ Patients Who Love Their Smiles
I came in wanting veneers and left with the most beautiful smile I've ever had. Dr. Casel took the time to truly understand what I wanted β the results exceeded every expectation. I tell everyone about this place.
Dr. Edelmann is incredible. She made me feel completely at ease from the first consultation. My Invisalign results are stunning β I genuinely can't stop smiling. The whole team is warm and professional.
The whole team at Modern Dentistry is exceptional β from the front desk to Grace my hygienist to Dr. Willoughby. I've never felt more cared for at a dental office. My crowns look completely natural.
Join 169+ Happy Patients in Jupiter
Experience the same 5-star care that has transformed hundreds of smiles right here in Jupiter, FL. Your consultation is just one click away.
A Space Designed for Comfort & Calm
Step into a dental experience unlike any other β luxurious, welcoming, and built entirely around you.
Come See Us in Jupiter, FL
We'd love to welcome you to our office. Book online in under 60 seconds, or give us a call β we're ready when you are.
Ready to Transform
Your Smile?
Our consultation slots fill quickly. Take the first step toward the smile you deserve β book online or call us directly right now.
(561) 821-2336π Office Hours
- Monday8:00 am β 5:00 pm
- Tuesday8:00 am β 5:00 pm
- Wednesday7:30 am β 4:00 pm
- Thursday8:00 am β 5:00 pm
- Friday8:00 am β 4:00 pm
- SaturdayClosed
- SundayClosed